O acidente ocorreu no povoado Bela Vista.
A jovem Edilene Lima Pinto da Silva, estava em companhia da mãe, as duas trafegavam em uma motocicleta quando foram atingidas por outro ciclista.
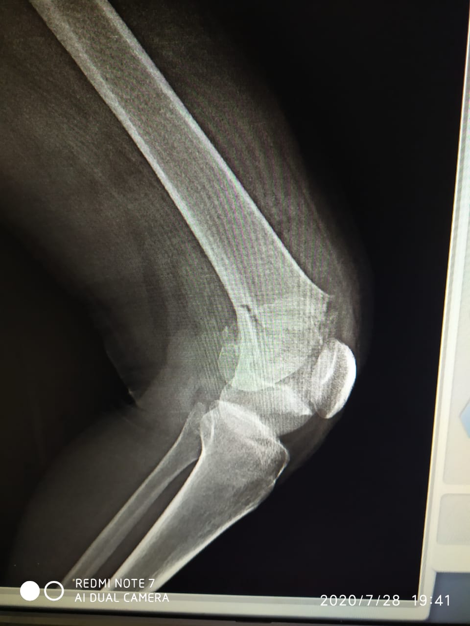
Por conta da colisão, a jovem sofreu uma fratura no joelho, quebrando o o fêmur. De acordo com a família, a cirurgia custa em torno de R$ 13.500 reais.
Edilene encontra-se internada no Hospital Regional Laura Vasconcelos, sob efeito de remédios para amenizar as fortes dores. A família pede a quem puder ajudar com qualquer quantia, que realize pela conta da Caixa Econômica Federal;
Edilene encontra-se internada no Hospital Regional Laura Vasconcelos, sob efeito de remédios para amenizar as fortes dores. A família pede a quem puder ajudar com qualquer quantia, que realize pela conta da Caixa Econômica Federal;
Agência: 3826
Conta: 013 00005800-0
Jailson Pinto da Silva.
Vamos ajudar a quem precisa, qualquer valor será muito bem vindo.




Nenhum comentário:
Postar um comentário